
今回、私は以前からコンプレックスだった部分を治療しました。
治療をしたことで自信を持って
思いっきり笑えるようになりました!
治療をする前の私の歯はこんな感じです。
気にしていた部分は3カ所です。
①と②の部分は昔に治療して銀歯を入れてから、
笑ったり、人と会話をするときに
”キラーン”と光って見えてしまうことが
ずっと気になっていました。
そして今回それぞれ銀歯を外して、
①の部分は「メタルボンド」にやり替えました。
見た目の違和感もなく、自分の歯かと思うくらい
自然だと思いませんか?
メタルボンドは、
歯の表側にセラミックを使用しているので
自分の歯に近い色調が再現できます。
また、色の劣化がなく、長い間審美性を保つことができます。
そして歯の内側には金属で補強されている為、割れにくく
耐久性や適合性も良好です。
②の部分は「セラミックインレー」にやり替えました。
セラミックインレーは天然歯のような審美性と透明性があります。
歯垢が付きにくく、食べ物の色素を取り込まないので、
経年変色がなく、いつまでもキレイなままです!
また、オールセラミックで金属を使用していないので
アレルギーの心配もありません。
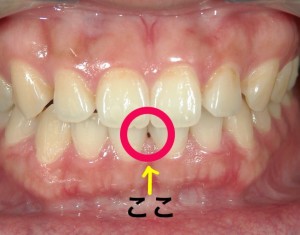
そして私が一番気にしていた③の部分は、
「ダイレクトボンディング法」という方法ですき間を埋めました。
これまで、すきっ歯を治すには、
矯正治療をするか、両隣の歯を削って
セラミック等をつける治療法を勧められていました。
でも、すきっ歯の部分を治したいだけなのに
目立った器具を装着したり、健康な歯を削らなければいけなかったり、
なおかつ費用や時間もかかると思うと、
もうこのままでいいかな…と諦めていました。
ダイレクトボンディング法は
削ったり、目立った器具も装着することなく、
樹脂ですき間を埋めるので
回数もかからず、痛みも全くありませんでした。
私のようにすきっ歯を気にされている方に
是非おすすめします!
どうですか?
治療前と治療後を見比べてみてください。
同じ悩みを持たれていた方、興味を持たれた方が
いらっしゃいましたらお気軽にご相談ください!
皆様大変お待たせしておりましたインビザラインの
治療経過最終段階の報告です。
6月に15枚目までの途中経過を更新して以来
なかなか次のマウスピースに進むまでに時間を要したり
入り具合が悪くもう一回前のマウスピースに
戻って入れていたりとラストスパートがなかなか
根気のいる約4ヶ月でした。
まずは最終的な歯並びから。
BEFORE AFTER
噛み合わせが変わったことにより最初は噛んでいても
隙間があったのがほとんどなくなりました。
次に咬合面観(上)です。途中過程でもお伝えしてましたが
2番目の歯が大きく前に動いて綺麗なアーチ状になりました。
これにより私が一番気にしていた1番前の歯の出っ歯感がなくなりました。


続いて咬合面観(下)です。こちらも重なっていた前歯5本程を
綺麗に並べてアーチ状になりました。
重なっている歯は見た目の問題だけでなく虫歯リスクも高まってしまうため
矯正治療により清掃性がよくなったため虫歯リスクの減少にもつながりました。
(上下共被写体の大きさが違い申し訳ありません)
無事所定の枚数を終え、これから私は矯正治療に
とても大事な“保定期間”にはいっていきます。
では保定期間とは何か?
矯正治療によりせっかく綺麗に並んだ歯並びも
リテーナーと呼ばれる保定装置をつけていないと
後戻りしてしまうケースが多くみられます。
当人である私も昔ワイヤー矯正をしていたのですが
当時この大事な保定期間をさぼってしまい結局後戻りにより
今回再び矯正治療を要してしまうこととなりました。
身を以て経験したことによりこの保定期間というものが
どれだけ大事な期間なのかがよく分かりました。
そして今回届いたリテーナーがこちら。
ケースもリテーナー用に新しく届きマウスピースも
治療に使用していたものと変わりしっかりした素材になりました。
装着してみるとこんな感じになります。
撮影用に口唇を引っ張っていますが実際に普通にしてみると
こんな感じになります。
全然分からないですね。
さて、この保定期間ですが一体いつまですればいいの?
という疑問がでてくると思います。
一般的に言われているのは最初の1年半は24時間
1年半を超えるとさらに1年半は夜間のみ
それで安定してくると2日に1回など期間を空けていきます
この保定期間には明確なゴールはありません。
大丈夫かな?と思っていても案外歯はすぐに動いてしまいます。
なので可能な限りでは続ける必要があります。
約1年に渡って私の矯正治療は終わりを迎えましたが
保定期間をいれると完全な終わりではないので
気を緩ますことなくしっかりセルフメインテナンス
していきたいと思います。
インビザラインを検討している方や少しでも興味を持たれた方は
ぜひなんでもお気軽に相談してください。
インビザラインによる矯正治療の途中経過です。
現在マウスピースは15枚目になりました。
↑正面観
大分重なってる部分が減ったように見えます。
正面だけみるとほぼほぼきれいに並んでるように見えますね。
↑咬合面観(上)
最初の頃と比べるとかなり2番目の歯が分かりやすく動き
きれいなアーチ型になってきているのがわかります。
↑咬合面観(下)
こちらも上と同様にきれいなアーチ型になってきています。
右の2番目が大きく動いているのが分かります。
上下ともに重なっている部分がほとんどなくなってきています。
たまに入れ忘れて寝てしまったりということがあるのですが
やっぱり少しでも入れていない時間があると
次にはめたときにきつさを感じたりするのでずっとはめ続ける
重要性を身をもって体感しました。
マウスピースも残り5枚と終盤にさしかかってきたので
気を抜くことなく最後まで頑張っていこうと思います。
インビザラインでの矯正治療による途中経過です。
現在マウスピースは10枚目に変わったところです。
↑正面観
正面観ではまだ凹凸のような歯並びに見えますね。
↑咬合面観(上)
わずかな変化ですが2番目の歯が少し前に
動いてくれているような感じがします。
↑咬合面観(下)
こちらは以前の5枚目の時と比べて右側の2番目の歯が
かなり動いているのが分かります。
内側に入っていたのが前の方にでてきて
隣在歯と平行な並びに近づいてきています。
隣の1番目の歯も少し左に寄せてはいるスペースを
つくって並べています。
現在マウスピース10/20枚目の経過報告でした。
日常で確認していてもそんなに変化がないように
感じていましたが、こうして写真で比べてみると
目に見えて実感できるのでちょうど折り返し地点ですが
引き続き頑張って続けていきます。
昨年末から始めたインビザラインでの矯正治療経過です。
マウスピースは現在5枚目に変わったところです。

↑正面観
この写真では分かりにくいですが、いくつかの歯に歯を動かしやすくするため
アタッチメントと呼ばれる白い樹脂を3枚目のマウスピースからつけています。
↑咬合面観(上)
この写真で先程のアタッチメントがついているのが分かると思います。
肝心の歯の動き具合も正面観より分かりやすいです。
右の2番目の歯がわずかですが右に動いています。
↑咬合面観(下)
こちらは明確な歯の動きは少し分かりません。
まだ時間を要するみたいですね。
上と同じように下にもいくつかにアタッチメントがついています。
現在マウスピース5/20枚の経過報告でした。
治療を始めてから今現在まで全く痛みはありません。
引き続き頑張って治療を続けていきます。
今回私が利用する矯正治療はこちら。


インビザライン
インビザラインとは?
インビザライン® システムは、3次元画像化技術等の最先端技術を融合させた
新しいアプローチの歯科矯正治療システムです。
透明で可撤式のマウスピース型を段階的に通常は2週間毎に新しく交換しながら
連続して使用することで歯を除々に移動させます。
インビザラインのメリット
・透明なので目立ちにくい
・可撤式なので必要に応じて取り外しが可能
・ワイヤー矯正と比べほとんど痛みを感じない
・ワイヤー矯正より期間が短く済む場合が多い
・非抜歯で行えるケースが多い
・ワイヤー矯正より清掃性がいい(虫歯リスクが減る)
インビザラインのデメリット
・自分で取り外しができてしまうため規定時間つけていないと
歯が移動していかない
H27.12月 インビザライン開始

↑矯正開始前正面観
最初にインビザラインのマウスピースを作るための型取りを行います。
精密な型取りを行うためシリコン素材の材料で採得します。

↑咬合面観(上)
上の歯は真ん中から2番目の歯が両方とも1番目の後ろに重なっているので
これを矯正により動かして治していきます。
↑咬合面観(下)
下の歯は右の真ん中から2番目の歯が後ろに入っているので
奥歯を動かして真っすぐな位置で入るスペースをつくります。

↑インビザラインマウスピース装着状態
透明なので全く目立ちません。基本的にはこの状態で1日20〜22時間装着します。
食事の時のみ外すイメージです。
1つのマウスピースを2週間装着し続けた後来院してもらい状態を確認した上で
次のマウスピースへと移行していきます。
慣れるまでは喋りづらいかなぁ?と思いましたが1日で慣れ仕事にも支障ありません。
昔ワイヤー矯正もしていたのですが、それと比べると痛みもほとんどありません。
強いて言うならば新しいマウスピースに交換した直後に少しきつい感じがあるので
圧迫された感じがありますが2日程で慣れます。
ワイヤー矯正のように見た目も気にならないので頑張って続けていきます。
7月11日
![]() |
![]() |
本日からホワイトニング開始のために、
クリーニングやマウスピースの作製をします。
マウスピースの型取りの様子を撮影しました。
見本の文字が切れていますが、最初の色はA3です。
7月24日
![]() |
![]() |
マウスピースが完成したので、ホワイトニング開始です。
使うのはこちらのホワイトニングセット。
マウスピースの歯の表面にあたるところに
1つの歯に米粒ほどの液を入れて、2時間ほどはめておきます。
どれくらい白くなるか楽しみです。
8月5日
2週間経ちましたので、 途中経過を撮影しました。
最初は A3だった色がA2になりました。
自分ではあまりわからなかったのですが、
見本の色と比べると確かに少し白くなっていました。
8月25日
![]() |
![]() |
ホワイトニングを始めて1ヶ月が経ちました。
色の変化はA3からW2になり、
1ヶ月間で自分でもわかるほどに白くなりました。
周りからも白くなったね、といわれ嬉しいです。
ひとまずここで終了します。
*一ヶ月間のまとめ*
ホワイトニングをする前にクリーニングをしてもらい、スッキリした状態で始めることが出来ました。
ホワイトニングの液をつけても全然しみることなくスムーズに進めることが出来て良かったです。
でもホワイトニング中は濃い色の食べ物だったり炭酸飲料がダメだったので、そのことに気をつけながらしていました。
歯の白さをキープするためにも、定期的なメインテナンスでクリーニングを続けていきたいと思います。
待合室の掲示板にもこのホワイトニングの記録を貼り出していますので、よかったら見て下さいね。
